Find your therapist or beauty specialist
Poznan

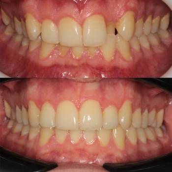
Bartosz Staniak (Poznan) Orthodontist, dentist

Offers and prices master Bartosz Staniak (8)

Orthodontics (8)
Braces installation
Ceramic braces installation
Installing Metal Braces
Installation of Sapphire braces
Lingual Braces Installation
Combined Braces installation
Self Ligating Braces installation
Braces Removal
Upgrade your plan

Bartosz Staniak

I specialize in treatment with Invisalign orthodontic braces. This technique is based on the correction of the dentition using transparent overlays that exert controlled pressure on the teeth, thereby moving them into the desired position. This is an aesthetic alternative to fixed braces.

Workplace options

At beauty salon
Poznan, Grunwald dist, Ławica, 2
   Show working hours
No fixed shedule
Show specialists contacts

Workplace options

Reception at salon

Poznan, Grunwald р-н, Ławica, 2
Show working hours
No fixed shedule
+4 (851) 238-...
show phone number

Are you the owner?


to your profile

Found a mistake?