| Diagnostyka stomatologiczna (4) | |
|---|---|
| Diagnostyka stomatologiczna | |
| Tomografia komputerowa zębów | |
| Ortopantomogram zębów | |
| RTG zębów | |
| Profilaktyka chorób zębów (2) | |
|---|---|
| Profilaktyka chorób zębów | |
| Profesjonalne czyszczenie zębów | |
| Stomatologia estetyczna (8) | |
|---|---|
| Stomatologia estetycznaЭстетическая стоматология | |
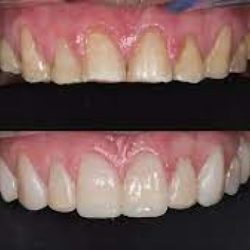
| Wybielanie zębów | |
| Laserowe wybielanie zębów | |
| Wybielanie zębów metodą fotochemiczną | |
| Wybielanie endodontyczne | |
| Wybielanie zębów lampą ZOOM | |
| Wybielanie zębów lampą Beyond | |
| Biżuteria nazębna | |
| Zabieg dentystyczny (15) | |
|---|---|
| Zabieg dentystyczny | |
| Leczenie próchnicy zębów | |
| Leczenie próchnicy laserem | |
| Leczenie próchnicy ICON | |
| Leczenie kanałowe | |
| Leczenie kanałowe pod mikroskopem | |
| Leczenie zęba w znieczuleniu | |
| Leczenie kanałowe zęba pod mikroskopem | |
| Odbudowa zębów | |
| Leczenie miazgi | |
| Wypełnienie stomatologiczne | |
| Tymczasowe wypełnienie zęba | |
| Wypełnienie kanału korzeniowego | |
| Wypełnienie światłoutwardzalne | |
| Zabieg wszczepienia implantu | |
| Leczenie dziąseł (6) | |
|---|---|
| Leczenie dziąseł | |
| Leczenie chorób przyzębia | |
| Leczenie paradontozy | |
| Leczenie zapalenia dziąseł | |
| Terapia wektorowa | |
| Laserowe leczenie dziąseł | |
| Ortodoncja (14) | |
|---|---|
| Ortodoncja | |
| Montaż stałego aparatu ortodontycznego | |
| Aparaty ortodontyczne ceramiczne | |
| Aparaty ortodontyczne metalowe | |
| Aparaty szafirowe estetyczne | |
| Aparaty lingwalne | |
| Kombinowane aparaty ortodontyczne | |
| Aparat ortodontyczny plastikowy | |
| Aparaty ortodontyczne samoligaturujące | |
| Aparat ortodontyczny Damon | |
| Zdejmowanie aparatu ortodontycznego | |
| Aparat ortodontyczny ruchomy | |
| Trenażery ortodontyczne | |
| Aparat Clear Aligner | |
| Protetyka stomatologiczna (16) | |
|---|---|
| Protetyka stomatologiczna | |
| Protezy ruchome | |
| Korony | |
| Korony ceramiczne | |
| Korony metalowo-ceramiczne | |
| Korony cyrkonowe | |
| Zdejmowanie korony | |
| Korony tymczasowe | |
| Korony metalowe | |
| Korony plastikowe | |
| Licówki | |
| Licówki kompozytowe | |
| Licówki ceramiczne | |
| Zabiegi dentystyczne Lumineers | |
| Zakładanie mostu na zęby | |
| Przedłużenie zęba na szpilce | |
| Chirurgia stomatologiczna (13) | |
|---|---|
| Chirurgia stomatologiczna | |
| Podstawowy implant | |
| Implantacja laserowa | |
| Implantacja jednoczesna | |
| Implantacja jednoetapowa | |
| Ekstrakcja zęba | |
| Ekstrakcja zęba mlecznego | |
| Ekstrakcja zęba mądrości | |
| Trudna ekstrakcja zęba | |
| Ekstrakcja zęba za pomocą ultradźwięków | |
| Usuwanie zębów pod narkozą | |
| Usunięcie zęba zatrzymanego | |
| Usuwanie korzenia zęba | |
Oral health should be trusted only to qualified doctors. At Filigree Dentistry you will receive the necessary treatment.
Certified orthodontists provide consultations here.
A number of medical procedures are available to you, including vestibuloplasty.
If you are interested in laser teeth whitening services, you will find suitably qualified dentists in the dental office. It should be borne in mind that, despite the fact that this manipulation is almost always painless and really allows you to achieve an impressive effect, it cannot be said that it is completely harmless. In this regard, laser whitening is contraindicated for people with thin enamel and caries. In addition, surgical dentistry services are provided here, bite correction, sinus lifting, treatment of periodontitis, pulpitis, periodontitis and caries, dentures, installation of metal-ceramics, basic treatment, implantation, tooth extraction, as well as installation of braces, removal of tartar and tooth restoration.
|
|
|
||
| Петровско-Разумовский проезд, 5 | |||||||||||||||
Pokaż grafikę
|
|||||||||||||||
|
+7 (926) 704-...
pokaż numer |
Jesteś właścicielem?
Znalazłeś błąd?